قرنطینه چه بر سر مغز نوجوانان آورد؟
دستهبندی: علمیتاریخ انتشار: ۱۴۰۱ آذر ۱۲, شنبه ساعت ۱۸:۱۳

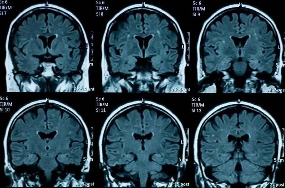
دیجیاتو نوشت: طبق این مطالعه، تغییرات فیزیکی مغز نوجوانان در دوران پس از همهگیری، بسیار سریعتر رخ داده که این امر منجر به پیری زودرس میشود.

دیجیاتو نوشت: طبق این مطالعه، تغییرات فیزیکی مغز نوجوانان در دوران پس از همهگیری، بسیار سریعتر رخ داده که این امر منجر به پیری زودرس میشود.